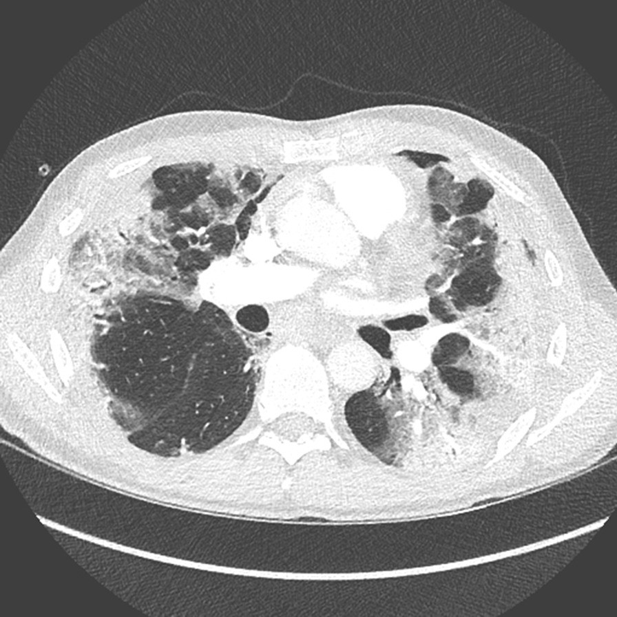
Fig. 2

CT scan after 2 weeks of hospitalisation. In comparison with the initial CT scan, ground glass opacities have been replaced by much more extensive consolidation lesions, especially predominant at the bases. Majoration of bilateral consolidations present in the middle and inferior lobes